今天拔牙,巨疼
不知道是不是医生水平不行,拔了很久拔不下来,最后各种工具用上了,好像是打磨碎了,分几块取出来的。
医生搞的很恼火,我也搞的好恼火。
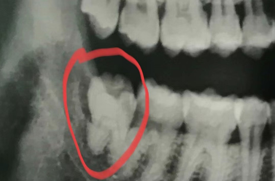
智齿的位置还是长得比较正的,本来没打算拔掉了,结果最近又发炎疼痛,索性长痛不如短痛。
前两年的时候去拔了左下,在华西口腔拔的,然后检查费用和拔牙等花了差不多1200+。
今天拔的是右下的智齿,约800元,感觉都好贵。
今天拔牙,巨疼
不知道是不是医生水平不行,拔了很久拔不下来,最后各种工具用上了,好像是打磨碎了,分几块取出来的。
医生搞的很恼火,我也搞的好恼火。
智齿的位置还是长得比较正的,本来没打算拔掉了,结果最近又发炎疼痛,索性长痛不如短痛。
前两年的时候去拔了左下,在华西口腔拔的,然后检查费用和拔牙等花了差不多1200+。
今天拔的是右下的智齿,约800元,感觉都好贵。